Psilocybin and Anxiety Clinical Study: Targeting the Default Mode Network for Anxiety

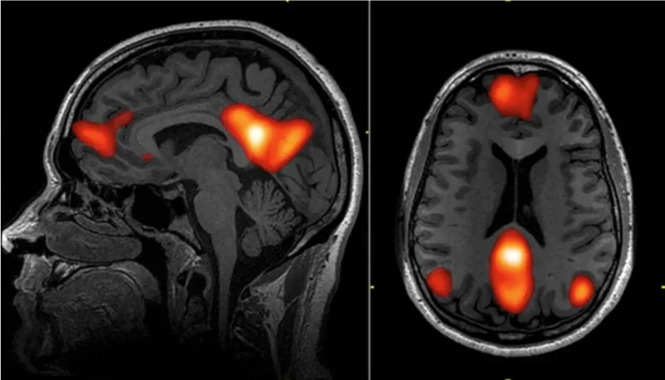
Functional MRI scans showing regions of the default mode network: dorsal medial prefrontal cortex, posterior cingulate cortex, precuneus, and angular gyrus. Source: http://www.frontiersin.org/Neurotrauma/10.3389/fneur.2013.00016/full

Anxiety disorders are increasing across all demographics in the U.S., and given the extensive side effect profiles of conventional pharmaceuticals, many of us are searching for alternative treatment modalities. Relatively more recent neuroimaging studies and clinical research have provided compelling evidence that targeting the brain’s Default Mode Network (DMN) with psychedelic therapies could play an integral role in a multimodal approach to alleviating anxiety symptoms.

The DMN is a network of interconnected brain regions that becomes active when we’re engaged in self-referential thought processes, introspection, and not focused on the external environment. You can think of it as being focused inward on the “self” vs. outwardly engaged with the world. This is not, in and of itself, a pathologic state. Introspection is quite evolutionarily beneficial for humans because it enables self-reflection that enhances decision-making, fosters social cooperation, and promotes adaptive learning for survival. This adaptive trait can become maladaptive, however, when the DMN becomes overactive relative to other neural networks. An overactive DMN is associated with the repetitive negative thinking, rumination, and unease that is characteristic of anxiety states.

EEG resting state connectivity images demonstrating Increased DMN activity in severe, moderate, and mild social anxiety, as compared to control. Source: Al-Ezzi et al. Analysis of Default Mode Network in Social Anxiety Disorder: EEG Resting-State Effective Connectivity Study. Sensors 2021, 21, 4098. https://doi.org/10.3390/s21124098

Recent studies have explored the therapeutic potential of psilocybin— the primary psychoactive compound in magic mushrooms—in modulating the DMN. Under controlled clinical conditions, psilocybin has been shown to transiently “shut down” or reduce the activity of the DMN. This effect is akin to performing a hard reset on the brain’s operating system, effectively interrupting the entrenched cycles of negative self-referential thought. A commonly cited metaphor for this process likens entrenched negative thought patterns to worn out ski ruts on a hill, and psilocybin is like a fresh snowfall, erasing old tracks and allowing new, freer paths to form.

A pivotal study by Carhart-Harris et al. (2012, https://doi.org/10.1073/pnas.1119598109) demonstrated that psilocybin administration leads to significant decreases in DMN activity. These findings strongly suggest that psilocybin mitigates the neural processes that contribute to the sustained negative mood and anxiety.

From Carhart-Harris et al. (2012) illustrating changes in DMN activity pre- and post-psilocybin administration.

In addition to modulating the DMN, psilocybin has been associated with enhanced neuroplasticity, which is our nervous system’s ability to change and form new connections over time. Ly et al. (2018, https://doi.org/10.1016/j.celrep.2018.05.022) provided strong evidence that psilocybin increases the brain’s capacity to form new synaptic connections, a process essential for adaptive cognitive and emotional restructuring. This heightened neuroplasticity enables one to break free from rigid, negative thought patterns and to establish healthier neural circuits. 

Psilocybin increases the formation of new dendritic spines in a mouse model. Purple arrowheads indicate stable dendritic spines. Green arrowheads indicate new dendritic spines. Source: Shao LX, Liao C, Gregg I, Davoudian PA, Savalia NK, Delagarza K, Kwan AC. Psilocybin induces rapid and persistent growth of dendritic spines in frontal cortex in vivo. Neuron. 2021 Aug 18;109(16):2535-2544.e4. doi: 10.1016/j.neuron.2021.06.008. Epub 2021 Jul 5. PMID: 34228959; PMCID: PMC8376772.


The combination of DMN modulation and enhanced neuroplasticity presents a new paradigm for the treatment of anxiety. By reducing hyperactivity in neural circuits that promote persistent negative thought and simultaneously encouraging adaptive neural rewiring, psilocybin therapy offers sustained improvements in mood and cognitive flexibility. 

In summary, recent advances in neuroimaging and pharmacological research indicate that psilocybin’s ability to dampen DMN activity, coupled with its neuroplasticity-enhancing effects, may provide significant benefits for alleviating anxiety. This process can benefit not only individuals with severe anxiety disorders but also those of us high-functioning people who experience everyday anxiety that robs us of the peace, joy, and wonder that is found in the present moment.

Previous
Previous

Psilocybin Preparation Masterclass | 6-Step Guide by Dr. Tracy Townsend

Next
Next

Psilocybin-Assisted Therapy Shows Promising Long-Term Benefits for Treatment-Resistant Depression