
Meadow Media
The Meadow Podcast
Articles about Psilocybin
Psilocybin Preparation Masterclass | 6-Step Guide by Dr. Tracy Townsend
Psilocybin Preparation Masterclass | 6-Step Guide by Dr. Tracy Townsend
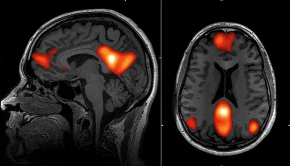
Psilocybin and Anxiety Clinical Study: Targeting the Default Mode Network for Anxiety
Psilocybin and Anxiety Clinical Study: Targeting the Default Mode Network for Anxiety
Psilocybin-Assisted Therapy Shows Promising Long-Term Benefits for Treatment-Resistant Depression
Psilocybin-Assisted Therapy Shows Promising Long-Term Benefits for Treatment-Resistant Depression
From Surgeon to Psilocybin: Dr. Tracy Townsend’s Journey (featured on the With Whit Podcast)
From Surgeon to Psilocybin: Dr. Tracy Townsend’s Journey (featured on the With Whit Podcast)
Transforming Physician Burnout: The Healing Power of Psilocybin Therapy
Transforming Physician Burnout: The Healing Power of Psilocybin Therapy
How Psychedelics Are Healing Trauma and Transforming Lives | Oprah with Michael Pollan
How Psychedelics Are Healing Trauma and Transforming Lives | Oprah with Michael Pollan
Mind Surgery With Psilocybin: Dr. Tracy Townsend on the Third Wave Podcast with Paul Austin
Mind Surgery With Psilocybin: Dr. Tracy Townsend on the Third Wave Podcast with Paul Austin